MULTIPLE SCLEROSIS

Multiple Sclerosis (MS) is a progressive, disabling disorder with symptoms ranging from fatigue and vertigo to pain and physical paralysis.

MS is the result of the body’s immune system mistakenly attacking and damaging the nerves in the body’s central nervous system.

The immune system attacks the nerves using inflammation, the same response that the immune system uses to attack threats to the body, such as infection and disease.

What causes MS is unknown and there is no cure.

CENTRAL NERVOUS SYSTEM

Consisting of the brain, optic nerves, and spinal cord, the central nervous system (CNS) is responsible for our ability to function and interact with the world. The brain processes data. It also controls the 5 senses (vision, hearing, touch, taste, and smell), as well as motion, thinking, speaking, and awareness. The optic nerves relay data between the eyes and brain, while the spinal cord relays data between the brain and body.

The nerves that run throughout the rest of the body are referred to as the peripheral nervous system (PNS). The nerves, in both the CNS and PNS, are encased in a protective, fatty sheath called myelin, which helps electrical impulses transmit data quickly and efficiently along the nerves. When any part of the myelin or nerve is damaged, the transmission of data can be distorted or interrupted. This interruption can result in a variety of disabling symptoms.

MS SYMPTOMS

MS symptoms can include unusual sensations, fatigue, weakened muscles, spasms, paralysis, numbness, tingling, pain, itching, vision problems, bladder problems, bowel problems, sexual problems, vertigo, brain fog, cognitive impairment, and emotional changes. No two MS patients experience the exact same symptoms.

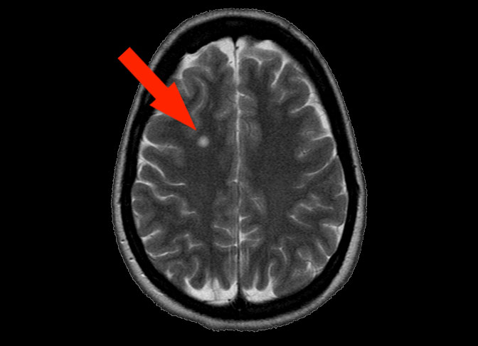
MRI Image of a lesion (red arrow) in my brain.

DIAGNOSING MS

MS is often diagnosed with magnetic resonance imaging (MRI) scans of the patient’s CNS.

When a nerve is damaged, scar tissue forms over the damaged area. These scars, also referred to as plaques or lesions, will appear as bright areas in an MRI scan.

A substance called Contrast is often injected into a patient, before an MRI scan, to make lesions easier to see.

The presence of lesions combined with symptoms characteristic of MS, usually indicate that the patient has MS. Other tests are often performed to help eliminate the possibility of the patient’s symptoms being caused by other disorders or diseases.

MS RELAPSES

When the immune system attacks the nerves in the CNS, it’s not a one time thing. Attacks can happen repeatedly, causing either a worsening of current nerve damage or creating new nerve damage. And since nerve damage is linked to MS symptoms, a worsening of current damage will cause a worsening of a current symptom. And the creation of new damage will cause the appearance of a new symptom.

The worsening of a current symptom, or occurrence of a new symptom, is often referred to as either a relapse, exacerbation, or flare. Informally, many MS patients tend to use the word “flare” to indicate the initial attack on the nerves, causing the occurrence of a new symptom or worsening of a current symptom. The word “relapse” is often saved for when the nerve damage and therefore symptom changes become permanent.

It’s also recognized that flares can be prompted by various things, such as heat, stress, and infection. And what these things have in common is that they’re all inflammation triggers.

MS PROGRESSION

The overall worsening of an MS patient’s condition is called progression. MS progression, however, is not always the same in all MS patients. Different patterns of MS progression have led to the classification of different types of MS.

The most common type of MS is Relapsing-Remitting MS (RRMS). Patients with RRMS experience periods of relapse and remission. Recovery from relapses can be complete or partial, meaning that sometimes the symptoms experienced during the relapse are temporary and will go away during remission. And sometimes some of the symptoms will linger and become permanent.

MS TREATMENTS

Since we don’t know what causes MS and that there is no cure, MS treatments focus on helping stop MS progression. These treatments, however, can bear some very unfortunate side effects, from rashes and headaches to nausea and joint pain.

Many MS treatments also involve immunosuppression (ie. the suppression of the immune system). Since the immune system attacks the nerves of MS patients, these treatments are designed to suppress the immune system in order to help stop the attacks on the nerves. But suppressing the immune system can also make a patient susceptible to disease and infection, even cancer.

MY EXPERIENCE WITH MS

I was diagnosed with RRMS in 2006.

I tried the prescribed MS treatments. Unfortunately, they did more harm than good. They helped turn my life upside down. And despite the horrible things that happened, I made some amazing discoveries.

I discovered that inflammation can cause MS relapses. I discovered the items, specific to me, that trigger inflammation (ie. inflammation triggers). And I discovered items that can help me effectively counter those inflammation triggers (ie. solutions).

These discoveries helped me figure out, not only how to manage my MS, but also stop it’s progression.

-Jen, aka. Power Chair Dorothy


REFERENCES

Andersen, O., Lygner, P. E., Bergström, T., Andersson, M., & Vahlne, A. (1993). Viral infections trigger multiple sclerosis relapses: a prospective seroepidemiological studyJournal of neurology240(7), 417–422.

Gonzalez-Lorenzo, M., Ridley, B., Minozzi, S., Del Giovane, C., Peryer, G., Piggott, T., Foschi, M., Filippini, G., Tramacere, I., Baldin, E., & Nonino, F. (2024). Immunomodulators and immunosuppressants for relapsing-remitting multiple sclerosis: a network meta-analysis..The Cochrane database of systematic reviews, 1 (1), CD011381.

Heintzman, D. R., Sinard, R. C., Fisher, E. L., Ye, X., & Rathmell, J. C. (2024). Subset-specific mitochondrial stress and DNA damage shape T cell responses to fever and inflammation. Science Immunology, 9 (9), DOI:10.1126/sciimmunol.adp3475.

Mohr D. C. (2007). Stress and multiple sclerosisJournal of neurology254 Suppl 2, II65–II68.

Marrodan, M., Alessandro, L., Farez, M. F., & Correale, J. (2019). The role of infections in multiple sclerosisMultiple sclerosis (Houndmills, Basingstoke, England)25(7), 891–901.

Neuhaus, O., Kieseier, B. C., & Hartung, H-P. (2007). Immunosuppressive Agents in Multiple Sclerosis. Neurotherapeutics, 4 (4), 654-660, ISSN 1878-7479.

Karagkouni, A., Alevizos, M., and Theoharides, T. C. (2013). Effect of Stress on Brain Inflammation and Multiple SclerosisAutoimmunity Reviews, 12(10):947-953. https://doi.org/10.1016/j.autrev.2013.02.006.

Ragonese, P., Aridon, P., Vazzoler, G., Mazzola, M. A., Lo Re, V., Lo Re, M., Realmuto, S., Alessi, S., D’Amelio, M., Savettieri, G. & Salemi, G. (2017). Association between multiple sclerosis, cancer risk, and immunosuppressant treatment: a cohort study. BMC Neurology, 17 (1), 1471-2377. DOI:10.1186/s12883-017-0932-0.

von Drathen, S., Gold, S. M., Peper, J., Rahn, A. C., Ramien, C., Magyari, M., Hansen, H. C., Friede, T., & Heesen, C. (2024). Stress and Multiple Sclerosis – Systematic review and meta-analysis of the association with disease onset, relapse risk and disability progression. Brain, behavior, and immunity120, 620–629.

Winkelmann, A., Loebermann, M., Reisinger, E. et al. (2016). Disease-modifying therapies and infectious risks in multiple sclerosis.Nature Reviews Neurology, 12, 217–233.


Not in Kansas Anymore (www.notinksanymore.com) is a site/blog authored and managed by Jen, aka. Power Chair Dorothy (pwrchr-dorothy). This site/blog is intended to provide educational and research information, and to share the author’s experiences..

The author of this site/blog is not a medical physician and this site/blog does not provide medical advice. This site/blog contains information that should not be used in place of a visit, call, consultation or the advice of your physician or other qualified health care provider. If you choose to apply or implement any information posted at this site/blog, you do so at your own risk.

Leave a comment

This site uses Akismet to reduce spam. Learn how your comment data is processed.